好氧顆粒污泥是廢水生物處理中的一種新技術. 與目前普遍使用的活性污泥法中的活性污泥絮體相比,好氧顆粒污泥優勢在于活性污泥絮體在一定條件下生長成為顆粒,在水中沉降速度遠大于活性污泥絮體,因此,采用好氧顆粒污泥處理廢水,曝氣池中生物濃度可大大提高,沉淀時間則可大大縮短[1, 2, 3, 4, 5, 6, 7, 8, 9, 10]. 普通活性污泥法曝氣池中活性污泥濃度約為3000 mg ·L-1,沉淀時間30 min到2 h. 而采用好氧顆粒污泥技術,曝氣池中污泥濃度可達10000~14000 mg ·L-1,沉淀時間只需1~3 min[11, 12, 13, 14, 15, 16]. 與普遍應用于處理高濃度廢水及難降解廢水的厭氧顆粒污泥相比,好氧顆粒污泥的培養時間約為1個星期到1個月,遠小于厭氧顆粒污泥啟動時間6個月[17]. 因此,好氧顆粒污泥技術有望為當今污水生物處理技術帶來突破性的進展.
但是,有關好氧污泥顆粒化的研究時間尚短,人們對好氧顆粒污泥的形成過程、 形成機制、 各種環境因素對好氧顆粒污泥的影響及顆粒污泥微生物學等,還缺乏深入的研究. 另外,有關好氧顆粒污泥的研究中,大部分是在實驗室規模下、 采用較高有機物濃度的人工配水(如葡萄糖等)作為基質,較少利用低有機物濃度的城鎮生活廢水培養好氧顆粒污泥. 另一方面,城鎮生活廢水中含有各類污染物,COD含量較低,通常小于200 mg ·L-1. 目前這類廢水的處理多采用傳統活性污泥法,廢水的處理效果較好,但傳統活性污泥法處理系統普遍占地面積大,建設成本高,剩余污泥量大,運行費用高,而且容易發生污泥膨脹.
本研究建立中試試驗裝置,利用實際城市污水培養好氧顆粒污泥,并采用共聚焦激光掃描顯微鏡、 X射線衍射等現代分析手段研究所培養顆粒污泥的特性,以期為好氧顆粒污泥技術的實際應用奠定基礎.
1 材料與方法
1.1 試驗裝置
中試試驗采用圓柱型 SBR 反應器,上半部材質為有機玻璃,下半部材質為鋼,內部刷漆防腐. 反應器內徑為 1 m,有效高度為4.5 m,有效容積均為 3.5 m3. 采用空氣壓縮機供氣,通過流量計控制曝氣量,曝氣量為12.5 m3 ·h-1,反應器內表面氣體流速為 0.44 cm ·s-1. 反應器內表面氣體流速定義如下:
反應器內表面氣體流速(cm ·s-1)=反應器內的氣體流量(m3 ·s-1)/反應器的截面積(m2) ×100
試驗裝置見圖 1. SBR 單周期循環時間為180 min,其中進水8 min,曝氣160 min,沉淀6 min,出水6 min; 整個運行程序利用微電腦時控開關控制. 人工模擬廢水由計量泵從反應器上部泵入反應器內,出水從反應器中間的排水口排出,排水比為50%. 在3 h的循環周期中,反應器中的DO濃度始終保持在2 mg ·L-1以上.

圖 1 中試裝置示意 1.原水水池; 2.進水泵; 3.微電腦時間控制器; 4.空氣壓縮機; 5.空氣流量計; 6.曝氣頭; 7.出水泵; 8.排水口
1.2 接種污泥與培養
接種污泥為實際污水處理廠二沉池回流污泥.該污泥呈黃色松散絮狀結構,性質見表 1. 取種泥曝氣24 h后,沉淀30 min,排出上清液,使接種污泥量為總體積的50%,再注入培養污水至正常水位. 接種后,反應器內污泥濃度約為3000 mg ·L-1.
試驗用水采用污水廠實際城市污水,進水水質如表 2.

表 1 接種污泥的性質

表 2 進水水質
1.3 分析方法
(1)常規分析
COD、 NH+4-N采用快速密閉分光光度法,NO-2-N、 NO-3-N、 TP、 混合液懸浮固體濃度(mixed liquor suspended solid,MLSS)、 混合液揮發性懸浮固體濃度(mixed liquor volatile suspended solid,MLVSS),出水懸浮物(suspended solid,SS)濃度均采用標準方法[18]測定. 采用 Olympus CX31光學顯微鏡和配套的Olympus 數碼相機進行圖像采集.
(2)CLSM分析
冷凍切片:將反應器中的好氧顆粒污泥取出,用PBS清洗,置于冷凍介質Tissue-Tek OCT (Miles,Elkhart,IN)中,-40℃冷凍一夜. 將冷凍的顆粒污泥在旋轉冷凍切片機(CM 1510-Cryostat,Leica,Germany)上切成50 μm厚度的切片[19].
CLSM分析:采用核酸染料SYTO9(25 mmol ·L-1,Molecular Probe,Eugene,OR)對切片中的細菌進行染色,采用凝集素熒光染色劑ConA-TRITC(250 mg ·L-1,Sigma)對切片中的EPS進行染色. 染色20 min后,用PBS清洗切片樣品. 將清洗后的染色切片樣品置于共聚焦激光掃描顯微鏡(CLSM,LSM 5 Pascal,Zeiss,Jena,Germany)下觀察[19, 20].
(3)好氧顆粒污泥無機物組成分析
采用X射線衍射(XRD)分析儀分析好氧顆粒污泥中無機物的組成. 具體方法為:先將樣品在550℃灼燒30 min以上,冷卻,干燥,然后將樣品研磨成粉末,利用Bruker D8 Advance X-ray powder diffractometer采集圖譜(Cu-Kα射線,LynxEye檢測器,光管電壓40 kV,電流40 mA,2θ測角范圍10°~80°,步長0.02°,掃描速度為0.3 s ·步-1),Eva XRD Pattern Processing software (Bruker Co. Ltd.)進行數據分析.
2 結果與分析
2.1 好氧顆粒污泥的形成
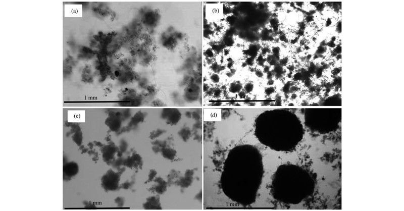
在顆粒污泥形成過程中,用光學顯微鏡對反應器中顆粒污泥的形態進行了觀察,其變化如圖 2所示. 可見,隨著培養時間的進行,分散的絮狀污泥逐漸轉化成為細小不規則的小顆粒,然后慢慢長大為個體較大、 形狀飽滿的較大顆粒,最終形成橢球形、 邊界清晰的深褐色成熟好氧顆粒污泥. 反應器中顆粒化污泥所占的比例逐漸增加,由40 d時的20%左右逐漸增加至100 d時的85%左右.

圖 2 好氧顆粒污泥的形態變化
好氧顆粒污泥培養過程中,反應器的沉降時間從30 min逐漸降低到6 min. 減少沉降時間過程中,由于過量排泥,反應器中的污泥濃度(MLSS)從2.13 g ·L-1降低到0.94 g ·L-1(圖 3),接著顆粒污泥能夠得到更多營養物質用于生長,反應器內的污泥濃度隨著顆粒化進程逐漸增加,MLSS開始緩慢增加. 運行至 40 d時,顆粒粒徑較以前增大,基本趨于成熟. 好氧顆粒污泥粒徑可達1.0 mm左右. 此時反應器中MLSS濃度在1.2 g ·L-1左右.
污水廠的進水為河水. 第75 d時,由于大量降雨,河水中的懸浮物急劇增加,使反應器中的MLSS濃度隨之增加; 降雨停止后,反應器中的MLSS濃度回落至正常.

圖 3 中試SBR反應器中MLSS、 MLVSS隨運行時間變化
2.2 對污染物的去除
中試反應器出水SS的濃度變化如圖 4所示. 隨著運行時間增加,中試反應器中顆粒污泥所占比例越來越高,反應器出水中的SS濃度逐漸降低. 但是,與污水處理廠出水一級A標準相比(出水SS<10 mg ·L-1),好氧顆粒污泥中試反應器由于沉降時間短(6 min),導致出水SS仍偏高(平均為60 mg ·L-1).

圖 4 中試SBR反應器中出水SS隨運行時間變化
對COD、 TN、 TP的去除結果見圖 5. 反應器穩定運行后,出水COD均維持在50 mg ·L-1以下,較好地實現了COD的去除; 出水NH+4-N小于2 mg ·L-1,實現了絕大部分NH+4-N的轉化,達到了實際污水處理廠的NH+4-N出水指標; 隨著污泥顆粒化的進行,出水TN的濃度逐漸降低,3個月后出水TN小于15 mg ·L-1. 出水COD、 NH+4-N、 TN均達到一級A排放標準. 好氧顆粒污泥反應器對TP 的去除為50%左右,在系統運行的末期階段,出水TP維持在0.57~1.09 mg ·L-1范圍內.

圖 5 中試SBR反應器對COD、 N、 P的去除
好氧顆粒污泥反應器運行的完整周期為:進水8 min、 曝氣160 min、 沉淀6 min、 出水6 min,沒有缺氧和厭氧階段. 在3 h的循環周期中,好氧顆粒污泥反應器穩定運行時對TN和TP的去除率均為50%左右. 圖 5表明,好氧顆粒污泥反應器能夠在3 h的周期中,實現同步N 的硝化和反硝化、 TP的去除. 但由于缺乏缺氧和厭氧階段,雖然出水TN和NH+4-N達到一級A排放標準,但仍可在未來的優化研究中,在周期中增加缺氧或厭氧階段,進一步提高TN、 TP去除率.
2.3 好氧顆粒污泥中細菌和EPS的分布
圖 6為一典型的好氧顆粒污泥表面的共聚焦激光掃描顯微鏡(CLSM)圖像. 其中紅色和綠色分別表示EPS和細菌的分布區域. 可見,在顆粒污泥表面處,細菌均勻地分布在EPS構成的網絡結構中.

圖 6 好氧顆粒污泥表面的CLSM圖像
圖 7顯示了好氧顆粒污泥的中心橫斷面上的CLSM圖像,紅色和綠色分別代表EPS和細菌的分布區域. 可以看出,從整個好氧顆粒污泥的橫斷面上來看,細菌主要分布在好氧顆粒污泥表面約50~80 μm的區域,此后隨著顆粒內部深度的增加,菌體分布逐漸越少,而EPS則分布在整個顆粒污泥中.

圖 7 好氧顆粒污泥中心橫斷面的CLSM圖像
2.4 好氧顆粒污泥的無機物組成分析 圖 8為好氧顆粒污泥中物質的XRD圖譜,通過XRD圖譜分析可以看出,其成分比較復雜,主要成分有:SiO2、 CaSO4、 Ca(Al2Si2O8)、 Fe2O3. 其中最高波峰為SiO2.

圖 8 好氧顆粒污泥XRD圖譜
3 討論
好氧顆粒污泥培養初期,為了促進好氧顆粒污泥的產生,改變運行方式,增加曝氣時間,減少沉淀時間,加大選擇壓,這有利于排除一些沉降速率慢的污泥. 此時,反應器內污泥的沉降性能得到了明顯的改善,但是由于沉淀時間縮短,反應器的出水SS變大,反應器內的 MLSS 有所降低(圖 3). 經過將近20 d的培養,反應器內都出現了好氧顆粒污泥,污泥濃度也開始逐漸增加,MLSS維持在1200 mg ·L-1左右. 由于實際污水濃度較低,且其中含有30%~40%左右的工業廢水,污泥顆粒化后,污泥濃度并沒有大幅度的提高.
中試系統的接種污泥也為實際污水廠中的二沉池剩余污泥,MLVSS/MLSS比例約為50%,污泥活性較低,初期培養出的好氧顆粒污泥的MLVSS/MLSS比例也為50%左右,與實際污水廠活性比相當; 隨著運行時間的增加,MLVSS/MLSS比例有所增加,達到60%以上,反映出培養的好氧顆粒污泥活性增加.
好氧顆粒污泥中試反應器由于沉降時間短(6 min),導致出水SS偏高(圖 4). 因此在未來實際應用時,需要增加過濾工藝.
圖 5顯示50%的TN得到去除,表明培養的好氧顆粒污泥具有同步硝化和反硝化的能力. 這是由于好氧顆粒污泥的多菌種結構,且基質和O2的傳質阻力隨著粒徑的增加而增大、 大顆粒的孔隙率也隨著顆粒的深度而減小,好氧顆粒污泥內部形成多種微環境,可同時滿足脫氮所需的不同條件:O2作為電子受體時,可進行氨氧化; NO-3-N作為電子受體時,可在缺氧區脫氮[21, 22]. 傳統活性污泥法中,通常在不同區域需要使用回流泵,因此具有同步硝化和反硝化功能的好氧顆粒污泥有望大大提高廢水生物處理的效率,節省能耗.
圖 5同時顯示好氧顆粒污泥反應器對TP的去除效率約為50%. 好氧顆粒污泥對磷的去除主要通過聚磷菌(PAOs)厭氧釋磷和好氧吸磷將磷以胞內多聚磷酸鹽的方式通過排泥去除. 中試試驗過程中沒有進行排泥,但由于反應器沉降時間短(6 min),導致出水SS較高(平均為65 mg ·L-1,圖 4),TP主要由出水中的SS帶走. 另外有研究表明,好氧顆粒污泥對磷的去除除了傳統的生物除磷途徑外,還有一部分是由于磷在顆粒污泥內部的化學沉淀作用而被去除[23, 24].
圖 6反映了好氧顆粒污泥表面EPS和細菌的分布,圖 7則顯示了EPS和細菌在整個好氧顆粒污泥中心橫斷面上的分布. 可以看出,好氧顆粒污泥中EPS均勻分布在整個顆粒污泥中,而細菌則主要分布在表面50~80 μm處,越靠近顆粒內部,由外到內逐漸減少. 文獻[25, 26]發現EPS中的藻多糖具有很強的凝聚能力,好氧顆粒污泥中的藻多糖通過形成具有三維空間結構的細菌藻酸鹽-金屬凝膠而對顆粒污泥的形成起骨架作用. 從顆粒污泥的整體結構(圖 6、 7)可以推斷好氧顆粒污泥主要骨架結構為EPS,各種菌群鑲嵌在EPS組成的凝膠網狀結構內.
顆粒污泥的VSS/SS比例為50%~60%左右,顆粒污泥中含有較多的無機物. XRD圖譜顯示,這些無機物以SiO2為主,以及一些金屬離子鐵、 鋁、 鈣等. 中試試驗中的實際城市污水的成分十分復雜,含有很多泥沙,還包含30%~40%的工業廢水,這些基本在XRD譜圖中得以體現. 一些學者[27]曾提出顆粒污泥形成的“晶核假說”原理. 該假說認為好氧顆粒污泥的形成過程類似于結晶過程. 在晶核的基礎上,好氧顆粒污泥不斷發育,最終形成成熟的好氧顆粒污泥. 該原理所指的晶核一般為接種污泥中的惰性載體或無機雜質等微粒物質. 圖 8中無機晶體的存在與“晶核假說”一致,在好氧顆粒污泥形成初期,這些無機微粒提供晶核,促進了好氧顆粒污泥的形成; 在顆粒污泥形成的后期,這些晶核與EPS一起共同維持好氧顆粒污泥結構的穩定性.具體參見 污水處理技術資料或污水技術資料更多相關技術文檔。
4 結論
(1)采用實際城市污水在序批式反應器(SBR)中成功培養出性能良好的好氧顆粒污泥. 培養出的好氧顆粒污泥在3 h的一個好氧循環周期中,反應器出水COD<50 mg ·L-1,NH+4-N<5 mg ·L-1,TN<15 mg ·L-1,對TN和TP的去除率達50%,顯現出較好的污染物去除效果.
(2) 成熟的顆粒污泥對COD具有較強的吸附與降解性能,實現了N的同步硝化反硝化和P的去除.
(3)在好氧顆粒污泥表面處,細菌均勻分布在EPS構成的網絡結構中; 而從整個好氧顆粒污泥的三維結構看,細菌主要分布在好氧顆粒污泥表面約50~80 μm的區域,越往內部細菌的分布越少,EPS則分布在整個顆粒污泥中,構成了好氧顆粒污泥的骨架.
(4)XRD分析顯示,好氧顆粒污泥中的無機物以SiO2為主,以及一些金屬離子鈣、 鐵、 鋁等. 這些無機微粒可能在好氧顆粒污泥形成初期為好氧顆粒污泥的形成提供晶核,促進了好氧顆粒污泥的形成,在顆粒污泥形成后期,這些晶核與EPS一起維持好氧顆粒污泥結構的穩定性.
